
معرفی بهترین متخصص زنان در تهران + آدرس
بهترین متخصص زنان در تهران، کسی است که با تجربه و مهارت بالا بتواند به نیازهای متنوع بیماران پاسخ دهد و با ارائه خدمات به

بهترین متخصص زنان در تهران، کسی است که با تجربه و مهارت بالا بتواند به نیازهای متنوع بیماران پاسخ دهد و با ارائه خدمات به

عفونت مکرر زنان یکی از شایعترین مشکلاتی است که بسیاری از خانمها در طول زندگی با آن روبهرو میشوند. این عارضه میتواند باعث بروز ناراحتیهای

بوی بد واژن یکی از مشکلات شایع در میان بانوان است که میتواند علاوه بر ایجاد نگرانی، بر اعتماد به نفس و حتی روابط شخصی

اگر عبارت آزمایش HSV را جستجو کردهاید، احتمالا دغدغهها و سوالات زیادی در ذهنتان دارید: ویروس هرپس سیمپلکس چیست؟ آیا من به این ویروس مبتلا

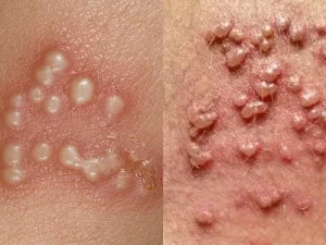
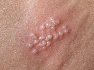
آیا تبخال تناسلی در افراد مجرد هم ایجاد می شود؟ تبخال تناسلی یک عفونت مقاربتی است که توسط ویروس هرپس سیمپلکس ایجاد میشود. این ویروس

آیا تبخال تناسلی باعث سرطان میشود؟ این سوال شاید دغدغه بسیاری از افراد مبتلا به تبخال تناسلی باشد. این بیماری یکی از شایعترین عفونتهای ویروسی

درمان تبخال تناسلی یکی از دغدغههای اصلی افرادی است که با این عفونت ویروسی درگیر هستند. تبخال تناسلی نوعی بیماری مقاربتی است که معمولا بهصورت

تبخال تناسلی یکی از شایعترین عفونتهای ویروسی منتقله از راه تماس جنسی است که توسط ویروس هرپس سیمپلکس (HSV) ایجاد میشود. این بیماری اغلب با

آیا به دنبال یک دکتر زنان خوب در جردن هستید؟ انتخاب یک دکتر زنان خوب برای بسیاری از بانوان اهمیت ویژهای دارد، بهویژه در مناطقی

زگیل تناسلی، شایعترین بیماری مقاربتی در دنیا می باشد و متاسفانه در سالیان اخیر میزان شیوع این بیماری در ایران افزایش قابل توجهی داشته است.